当院で矯正治療を受けられた患者様の実際の治療内容を、
治療方法やお悩み・症例別にご覧いただけます。
治療方法から治療例を見る
お悩みから治療例を見る
症例一覧
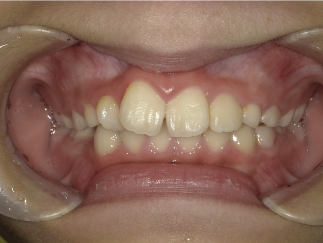
インビザライン:子供
小児矯正
治療期間:1年6ヶ月
費用:550,000円(税込)
#小児矯正
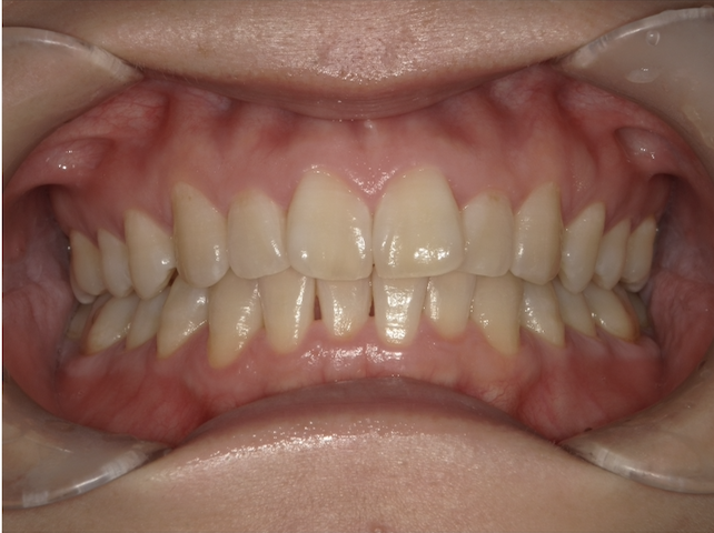
インビザライン:大人
前歯が目立つ
治療期間:1年6ヶ月
費用:440,000円(税込)
#前歯が目立つ
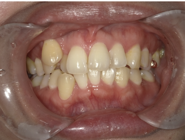
インビザライン:大人
前歯が目立つ
#前歯が目立つ
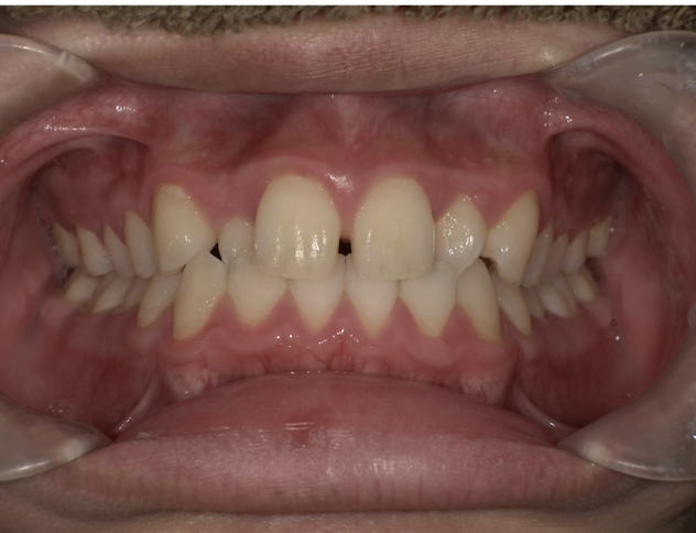
インビザライン:大人
ガタガタ
治療期間:2年1ヶ月
費用:880,000円(税込)
#ガタガタ