口腔管理強化型診療所

WEB予約

お問い合わせ

TEL.052-838-8855

愛知県名古屋市瑞穂区大殿町4-10

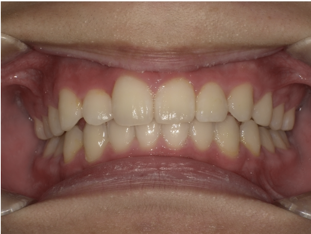
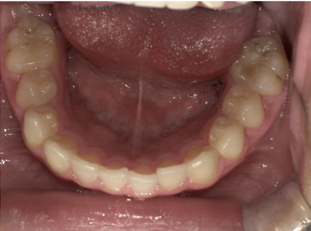
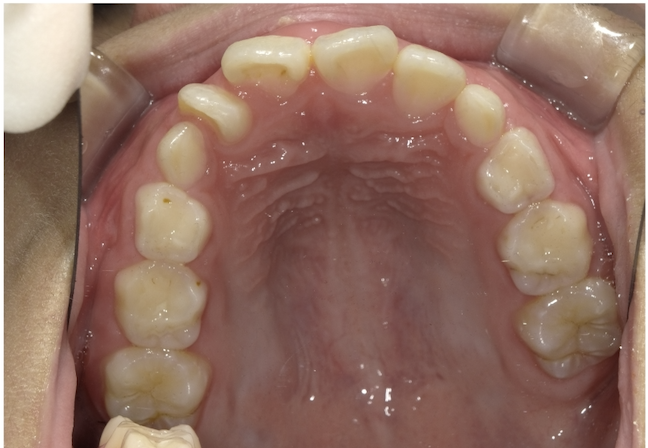
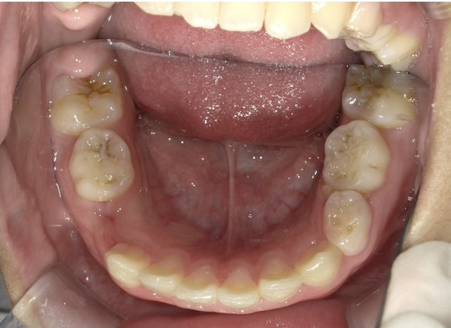
Case 歯並び症例

小児矯正

Before

After

Before

After

Before

After

診断名 10代男性 永久歯の生えてくるスペース不足のため、スペース確保
費用 550,000円(税込)
治療方法 マウスピース矯正(インビザラインファースト)
治療期間 1年6ヶ月
リスク・副作用 ・治療の初期段階では、痛みや不快感が生じやすくなりますが、1週間前後で慣れます。  ・歯の動き方には個人差があるため、予想された治療期間より延長する場合があります。